Da orsi e maiali il segreto per una pelle più giovane VIDEO

Lettura meno di un minuto.

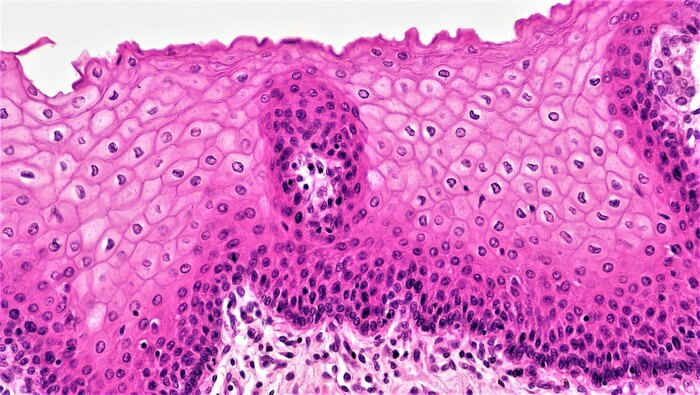
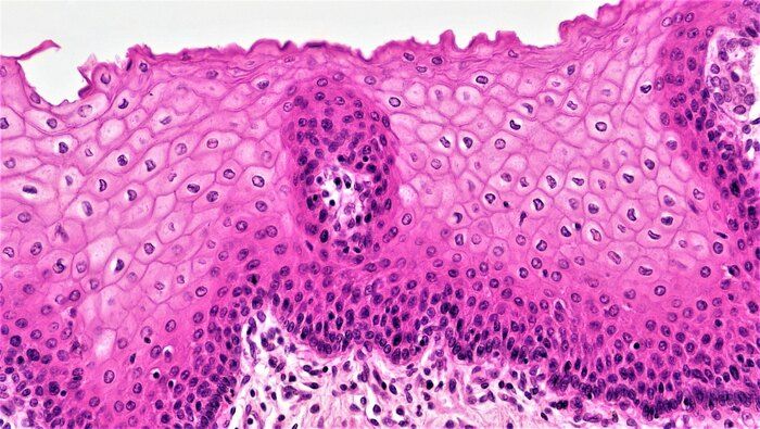
Le creste agiscono come un velcro biologico per ancorare lo strato esterno della pelle, l'epidermide, al derma sottostante, contribuendo a mantenere elasticità e resistenza . Man mano che queste creste si appiattiscono con l'età , la pelle diventa più sottile e più soggetta a cedimenti e danni. Nonostante la loro importanza, la ricerca è rimasta bloccata per decenni perché negli studi di laboratorio venivano usati i modelli animali sbagliati.

Grazie a nuovi esperimenti sui maiali , i ricercatori hanno verificato che le creste si formano dopo la nascita . Utilizzando tecniche avanzate di mappatura genetica, sono riusciti anche a identificare il ruolo chiave di una proteina (chiamata Bpm ) che guida lo sviluppo delle creste e potrebbe essere sfruttata per stimolare il loro ripristino anche nella pelle adulta . "L’uso delle proteine Bmp è già stato approvato dalla Food and Drug Administration per applicazioni ortodontiche - spiegano i ricercatori - e questo apre la strada al loro impiego anche nella pelle anziana e nel trattamento delle cicatrici".

© RIPRODUZIONE RISERVATA