Polo sanitario di via Sirtori e nuovo autosilo: lavori nel vivo
Il cantiere Gettate le fondamenta per la Rsa e il poliambulatorio: «Apertura prevista entro fine 2027»
Il cantiere Gettate le fondamenta per la Rsa e il poliambulatorio: «Apertura prevista entro fine 2027»
Ottenuti in laboratorio i primi follicoli piliferi funzionanti , capaci di generare e far crescere il fusto del pelo: sono stati prodotti da un team di ricerca giapponese grazie a una nuova tecnica che prevede l'utilizzo di tre tipi di …
Osservato per la prima volta il modo in cui il genoma riorganizza la sua struttura tridimensionale nelle cellule germinali dell' embrione che si preparano a differenziarsi in ovuli e spermatozoi: il risultato, che potrebbe aprire nuove strade nella ricerca sull’infertilità …
Salute La mortalità torna ai livelli dell’era pre Covid. Ma in provincia i pazienti cronici sono ancora 213mila. Tra le malattie più diffuse rientra il diabete di tipo 2
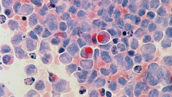
Dopo che la terapia con cellule Car-T ha rivoluzionato il trattamento di molti tumori del sangue , è ora allo studio una terapia cellulare di nuova generazione , simile ma più sensibile , che è in grado di colpire anche …
Intervista La dottoressa Olga Eugenia Disoteo: «Semaglutide e Tirzepatide sono strumenti terapeutici efficaci sotto controllo medico, ma non scorciatoie estetiche»
Como Più colpiti gli uomini delle donne. In provincia la mortalità è scesa, ma resta alta l’attenzione sugli screening
Un piccolo numero di interventi sarebbero avvenuti sempre, ha detto in consiglio regionale l’assessore al Welfare, con la presenza di medici titolati «in regime di guardia attiva»
L’attestato, valida per 5 anni a partire da febbraio 2026, certifica che il reparto è un centro formativo di eccellenza per urologi europei e punto di riferimento per la qualità delle cure, la ricerca e la formazione specialistica
Scoperto un antico circuito cerebrale responsabile del senso di sazietà e di appagamento per il cibo: è stato individuato nel cervello dei moscerini della frutta , ma potrebbe offrire importanti indizi anche sull ’uomo e aiutare a sviluppare nuove terapie …
Le cellule tumorali diventano più aggressive quando vengono compresse : se ripetutamente deformate , attivano rapidamente il gene dello stress Atf3 e aumentano la loro invasività . Questa risposta è stata per la prima volta osservata in tempo reale grazie …
E' pronto il decoder del Dna . Si chiama AlphaGenome ed è il nuovo strumento nato dalle ricerche sull'intelligenza artificiale che permetterà di capire meglio il funzionamento della molecola della vita, il Dna, e il modo in cui le sue …
È stato individuato il codice a barre dei tumori , che permette di identificare le caratteristiche della malattia con un esame del sangue . E' costituito da una classe molto particolare di molecole di Rna chiamate ' Rna non-codificanti orfani …
Riescono a spegnere l'allarme che nelle cellule sane segnala al sistema immunitario che qualcosa non va: è così che le cellule tumorali sfuggono alle difese dell'organismo , rimanendo sostanzialmente invisibili e continuando a crescere indisturbate . La scoperta di questo …
Salute Dalla qualità del riposo alla perdita di peso, ecco tutti i vantaggi immediati e a lungo termine. Tra falsi miti sulle bevande dealcolate e rischi del consumo abituale, spesso si tratta di una dipendenza psicologica
Diventa possibile scoprire nel cervello una spia delle malattie neurologiche che potrebbe aprire la strada alla diagnosi precoce . La chiave è nella tecnica di microscopia che riesce a mostrare i particolari delle cellule a forma di stella vitali per …
Le espressioni facciali intenzionali e quelle involontarie non sono orchestrate da regioni diverse del cervello bensì da un 'unica 'regia ' che invia segnali su scale temporali differenti . Lo dimostra uno studio condotto dai ricercatori della Rockefeller University di …
Il caso Il malore è sopraggiunto mentre il farmacista stava eseguendo un test sotto sforzo
Il grasso addominale localizzato vicino al colon è in grado di ' parlare ' con il sistema immunitario , una funzione unica nel suo genere che ha probabilmente acquisito come adattamento alla presenza di microrganismi nell'intestino: lo indica lo studio …
Nella vasta comunità di batteri che popolano l' intestino umano , ne è stato individuato uno che si è dimostrato nemico dei grassi : influenza il modo con il quale sono assorbiti dall'intestino, riduce ndo l' aumento di peso e …